健康な歯を維持するために
予防歯科とは

「嫌な治療はコリゴリ、治療のためではなく、一生自分の歯でおいしく食事をする」のを目標に、口腔内の健康管理・維持のお手伝いをさせていただきます。
患者様とのコミュニケーションをより深めるために、当院では、個室のカウンセリングルームで、専門スタッフによるカウンセリングも実施しております。
ご自分の歯を健康に保つことによって、あなたの人生がより素晴らしくなるお手伝いをしていきたいと心から私達は思っています。
PMTC

PMTCは、歯科衛生士による特殊な専用の器具を使い、歯の表面の歯石、バイオフィルムを除去する方法です。ツルツルに磨かれた歯面は、プラークが付着しにくくなります。また、PMTCを定期的に行うことにより、歯をむし歯・歯周病から守り、健康な口元を維持できます。
タバコを吸う方、お茶やコーヒーをよく飲む方、PMTCを行うだけで歯が白くなります。
また歯ぐきの腫れ、痛みを抑え、歯の寿命を延ばすことが期待できます。
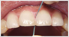
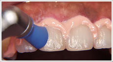
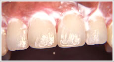
PMTCの手順
1. 磨ききれない汚れを確認します。

プラークには丁寧なブラッシングでも落とせないものがあります。その場所を確認します。
2. 歯の表面をクリーニング

ペーストを塗り専用ブラシで汚れをこすり落とします。
3.歯間クリーニング

プラスチックチップ、デンタルフロスを使って歯と歯の間の汚れを落とします。
4. 研磨ペーストを塗り柔らかいラバーカップで表面の艶だしを行います。

5. 歯の質を強くし輝きを増すため、きれいになった歯面にフッ素を塗って終了です。

歯ブラシだけでは落とせない汚れ
「毎日の歯みがき、きちんとやっているから・・・」とおっしゃる方がいらっしゃいます。
しかし、残念ながら歯ブラシでは落とせない汚れがあるのです。「歯石」と「バイオフィルム」です。
歯石とは
プラーク(歯垢)が固まって(石灰化して)できたもので、一度付着すると歯ブラシで取り除くことは不可能です。歯石は細菌の溜まり場となり、歯槽骨を溶かしてしまう原因となります。
ですから、定期的にきちんと取り除く必要があるのです。
バイオフィルムとは

さらに、歯と歯ぐきの境目(歯周ポケット)のバイオフィルムは歯ブラシで取り除くことは困難となり、これを放置すれば虫歯と歯周病の原因となります。
ですから、これも定期的に専門の機械を用いて歯科医院で取り除くことが重要になるのです。
バイオフィルムは細菌のかたまりです。歯の表面に取り付いた、虫歯菌や歯周病菌は、歯の表面で増殖しバイオフィルムを形成します。
バイオフィルムは、歯の表面に強固に付着します。剥がしとる最も効果的な手段として考えられるのが、PMTC(Professional Mechanical Tooth Cleaning)です。
ブラッシング等で物理的に取り除くしか方法がありません。放置しておくと歯の表面だけではなく、歯肉の縁より広がり歯肉、歯骨にまで影響します。
「一生自分の歯で食べる」ためだけではなく、
「体の健康を守るために・・・」「長生きするために・・・」「いつまでも若々しくいるために・・・」
そのためにも、虫歯菌・歯周病菌のコントロールが必要なのです。
歯周病治療の詳細は、こちらをご覧下さい。
大切なのは治療後のメンテナンス
治療のゴールそれはメインテナンスという新しいステージのスタートです!
健康になったあなたのお口を再び悪くしないよう、これからも長く良い状態を保っていただくため(予防・メインテナンス)の定期健診は、大変重要です。当医院では、治療が終了された方のお口の健康をサポートしていきます。「また痛くなったら・・・」「また何かあったら・・・」では、健康な歯を失うばかりです。
定期健診(メインテナンス)
自覚症状がなく進行していく歯周病を悪化させないために、そして子供さんの健康なお口を保ち健全な永久歯を育てるために定期的な管理(メインテナンス)は欠かせないものです。
歯周病の進行している方や、虫歯の危険性の高い方は、1~2ヶ月に1度の歯科衛生士による専門的なお口の清掃・相談・アドバイスをさせていただきます。
当医院では、定期健診の時期が近づきましたら、お葉書にてお知らせさせていただいております。
治療が終わった後は、お口の中の健康な状態を持続させるために定期健診は重要です。
患者様ご自身でも注意していただき、定期健診を怠ることのない様くれぐれもよろしくお願いします。
定期健診でやること
1. むし歯のチェック
むし歯は、歯の咬む面やつけ根だけでなく、歯と歯の間などの直接見えないところにもできやすいものです。また、一度つめて治療してあっても、そのわきの方に新たなむし歯ができることもあります。専門的な立場からむし歯をチェックします。
2. 歯ぐきのチェック
歯のまわりのポケット(歯周ポケット)が深いと、歯周病になります。あなたの歯周ポケットの深さはどのくらいか、チェックします。。
3. ブラッシング指導
歯と歯ぐきの正しいみがき方は、その人の歯並びや歯みがきの癖などのため、一人ひとり違うものです。あなたに合った、歯ブラシ・フロス・歯間ブラシなどの正しい使い方を指導します。
4. 歯垢の染め出しチェック
歯垢(プラーク)は、むし歯や歯周病の原因ですが、これをきれいに取り去ることはとても難しいことです。どこにプラークがつきやすいかをチェックするために、歯垢の染め出しをしてチェックします。
5. 歯垢を取る
歯ブラシで取り残したり、取りきれなかった歯垢は、むし歯や歯周病の大きな原因となります。
6. 歯石をとる
歯石は誰にでもつき、歯肉を圧迫するなどして、歯周病を引き起こす原因の一つとなります。
7. 歯科相談
むし歯や歯周病についての悩み事以外でも、相談にのります。顎の痛み(顎関節症)、咬むこと(摂食)、飲み込むこと(嚥下)についての指導や治療、高齢者の口腔の介護(口腔ケア)についても気軽に相談して下さい。
8020運動とは?
「80歳になったとき20本の歯が残っているようにしよう!」という運動を「8020運動」といいます。
8020を達成させるためには、「メインテナンス」は不可欠です!
これは単に20本の歯が残ればいい、というわけではなく、健康な歯を20本残そうというものです。それは物をおいしく食べ、人間として楽しく過ごすには、「20本」の歯が必要といわれているからです。しかし日本の現状は、8007、つまり80歳の方で、残っている歯の本数は、平均して「7本」だといわれています。これは日本のメインテナンス率の低さから来る研究もあります。上記グラフでは、定期健診を受けた方では、約15.7本残っているのに対し、治療だけの方では、6.8本しか残っていないという事実を示しています。
事実メインテナンス率がほぼ100%の予防歯科先進国である北欧の国々では、8020運動はすでに達成されているのです。
